Post Cancer Repair: : Before & After Photos
Procedures are performed by Dr. Lawrence Handler, Board Certified Ophthalmologist & specialist in the field of Oculofacial Plastic and Reconstructive Surgery and Dr. Zachary Pearce. Board-Certified Ophthalmologist and Oculoplastic Surgeon in Detroit, MI.
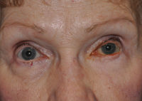
Patient 31
Individual results may vary.
Click here to contact Michigan Oculofacial Specialists and set up a consultation.
Patient 32
Individual results may vary.
Click here to contact Michigan Oculofacial Specialists and set up a consultation.
Patient 33
Individual results may vary.
Click here to contact Michigan Oculofacial Specialists and set up a consultation.
Patient 34
Individual results may vary.
Click here to contact Michigan Oculofacial Specialists and set up a consultation.
Patient 35
Individual results may vary.
Click here to contact Michigan Oculofacial Specialists and set up a consultation.
Patient 36
Individual results may vary.
Click here to contact Michigan Oculofacial Specialists and set up a consultation.
Patient 37
Individual results may vary.
Click here to contact Michigan Oculofacial Specialists and set up a consultation.
Patient 38
Individual results may vary.
Click here to contact Michigan Oculofacial Specialists and set up a consultation.
Patient 39
Individual results may vary.
Click here to contact Michigan Oculofacial Specialists and set up a consultation.





















