-
Photo Gallery
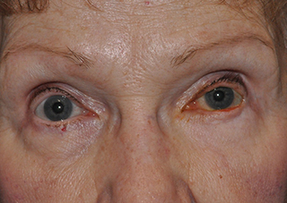
Post Cancer Repair Photos - Case #727
Patient Case #727
Before
After
Before
After
Our Offices
© 2019 Michigan Oculofacial Specialists | Sitemap | HIPAA Privacy Policy | Terms & Conditions | Privacy Policy
Plastic Surgery SEO & Websites by NKP Medical