Thyroid Eye Disease
What is Thyroid Eye Disease?
Thyroid Eye Disease is a complex condition in which the immune system causes a variety of signs and symptoms. Although most patients with Thyroid Eye Disease have Graves Disease (hyperthyroidism), it is possible to have hypothyroidism, or even normal thyroid levels. The immune system becomes activated, inducing changes to the tissues around the eye, including swelling, inflammation, and enlarged muscles and fat.
These tissue changes can cause a myriad of signs and symptoms. Often, early/mild symptoms include redness, tearing, dryness and mild swelling. As the condition worsens, patients can experience eyelid malposition, bulging of the eyes, double vision, pain/pressure, or even decreased vision.

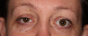
Left eye bulging and swelling due to Thyroid Eye Disease.
Nonsurgical Treatments
In addition to managing thyroid hormone levels, treatment includes artificial tear drops and cool compresses. Smoking is a significant modifiable risk factor for developing worse symptoms related to thyroid eye disease and it is recommended to stop smoking as soon as possible. Other nonsurgical treatment options include medications like prednisone or methylprednisolone. Emerging medical treatments include teprotumumab (Tepezza), which shows promise at altering the immune cycle in thyroid eye disease, and has been proven to decrease eye bulging and double vision.
Surgical Treatments
Eyelid retraction is one of the most common signs of Thyroid Eye Disease. There are times when surgery is indicated to help protect the surface of the eye, improve comfort and appearance. This is an outpatient, minimally invasive procedure that can improve the eyelid position. While some amount of bruising and swelling is common for most eyelid surgeries, pain is typically minimal.


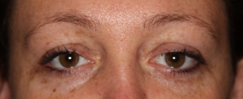
Before and After left upper eyelid retraction repair.
For more severe bulging or sight-threatening disease, surgery is undertaken on the bones and tissues behind and around the eye. This is called orbital decompression surgery. The surgical plan for each patient is customized based on the goals of the surgery. Through minimally invasive approaches, access is gained to the eye socket (orbit). To perform the safest, most effective surgery, Dr. Pearce and Dr. Handler utilize the latest technology, including CT-guided surgical navigation and ultrasonic instrumentation (Sonopet). These enhance the recovery and outcomes for patients.


Before and after right orbital decompression surgery.
Arrange a Consultation for Your Thyroid Eye Disease
Contact Michigan Oculofacial Specialists to set up an informative consultation with Drs. Lawrence Handler or Zachary Pearce regarding your symptoms related to Thyroid Disease. Our aim is to improve your life and vision by listening to your goals, customizing treatments and utilizing the best equipment and technology to maximize your results and minimize your downtime.