Skip to main content
Troy
248.649.1644
Clinton Township
586.286.3400
Facebook
Instagram
Google
Skip to content
Home
Contact
Directions
About Us
Dr. Lawrence Handler
Dr. Zachary Pearce
Carine Meldrum, MSPAS, PA-C
Testimonials
Blog
Procedures
Cosmetic Procedures
Forehead Lift
Laser Skin Resurfacing
Lower Eyelid Lift or Blepharoplasty
Upper Eyelid Lift
IPL Photofacial
Non-Surgical Procedures
Botox
Dermal Fillers
IPL Treatment for Ocular Rosacea and Dry Eye in Detroit, MI
Functional Procedures
Blepharospasm
Photo Gallery
Forms
For Doctors
Patient Forms
Education
Dr. Handler’s Post-Op Care
Dr. Pearce’s Post-Op Care
Videos
Photo Gallery
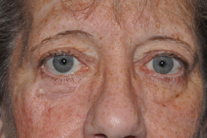
Post Cancer Repair Photos - Case #12596
Gallery Home
>
Reconstructive Procedures
>
Post Cancer Repair
> Case #12596
Previous
Post Cancer Repair
Case
Patient Case #12596
Before
After
Previous
Post Cancer Repair
Case